пн-пт: 8:00-20:00
сб-вс: 09:00-20:00
г. Бишкек, Пр. Манаса 8 (пересекает ул. Боконбаева)

Ситуация до лечения

Жалобы: Пациент обратился к нам с целью имплантации верхней челюсти.
Диагноз: Полная адентия верхней челюсти и частичная вторичная адентия нижней челюсти.

пациент до имплантации
пациент до имплантации

Процесс работы

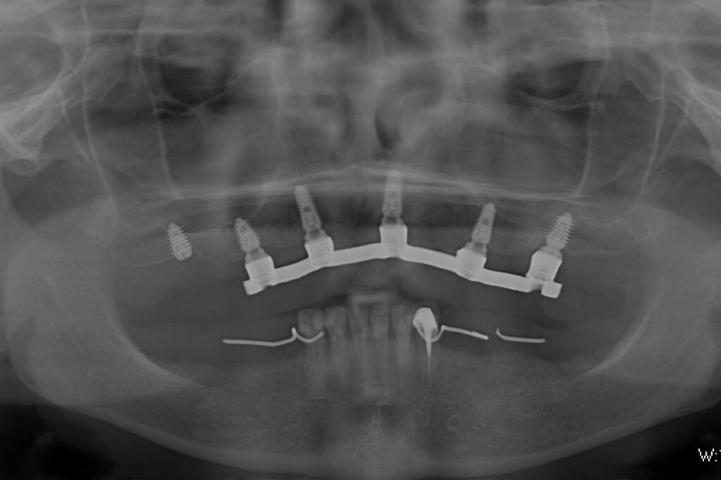
Что было сделано:

После проведенной консультации было принято решение о проведении комплексной имплантации по системе All-on-6.
После установки 6ти имплантантов Megagen AnyRidge были сняты оттиски для изготовления металлоакрилового протеза.
Спустя 7 дней на верхней челюсти зафиксирован металлоакриловый протез из 13 зубов с опорой на 5ти дентальных имплантатах.
(Не удалось добиться первичной стабильности у одного имплантата. При постоянном протезировании будут нагружены все 6 имплантатов)

Процесс имплантации
Это фото может содержать тяжелый для восприятия контент
Процесс имплантации
Это фото может содержать тяжелый для восприятия контент
Процесс имплантации
Это фото может содержать тяжелый для восприятия контент

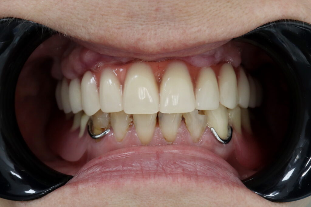
Результаты

Стоимость всего комплекса: 4100 USD (цена указана ориентировочно по курсу НБРБ на день оплаты)

Работа выполнена:
Хирург-имплантолог Артемова Анастасия Андреевна
Ортопед Агаев Самир Вахидович.

Результат имплантации
Результат имплантации
Результат имплантации
Результат имплантации
Результат имплантации

работы врача

больше примеров
All-on-4 (Megagen AnyOne)
Имплантация
All-on-4 (Megagen AnyOne)
All-on-4 и съёмный протез
Имплантация
All-on-4 и съёмный протез
Диоксид циркония на 6ти Megagen AnyOne
Имплантация
Диоксид циркония на 6ти Megagen AnyOne
6-ти дентальных имплантантах Megagen Anyone
Имплантация
Перепротезирование All-on-6 протезом из диоксида циркония
запись в стоматологию в Бишкеке
запись на приём
Оставьте заявку на обратный звонок,
и мы свяжемся с вами в течение 10 минут
запись в стоматологию в Бишкеке
Ваше Имя
Поле является обязательным
Телефон
Поле является обязательным
уже проходили лечение в нашей стоматологии?
 стоматологическая клиника
Пожалуйста, оставьте отзыв о своих впечатлениях. Это очень важно для нас!
Оставить отзыв
Ваша обратная связь поможет нашим будущим пациентам определиться с выбором специалиста и метода лечения
Ваше Имя
Поле является обязательным
Телефон
Поле является обязательным
На сколько звёзд Вы оцениваете стоматологию?
Поле является обязательным
Ваш отзыв
Не более 500 символов
Поле является обязательным