пн-пт: 8:00-20:00
сб-вс: 09:00-20:00
г. Бишкек, Пр. Манаса 8 (пересекает ул. Боконбаева)

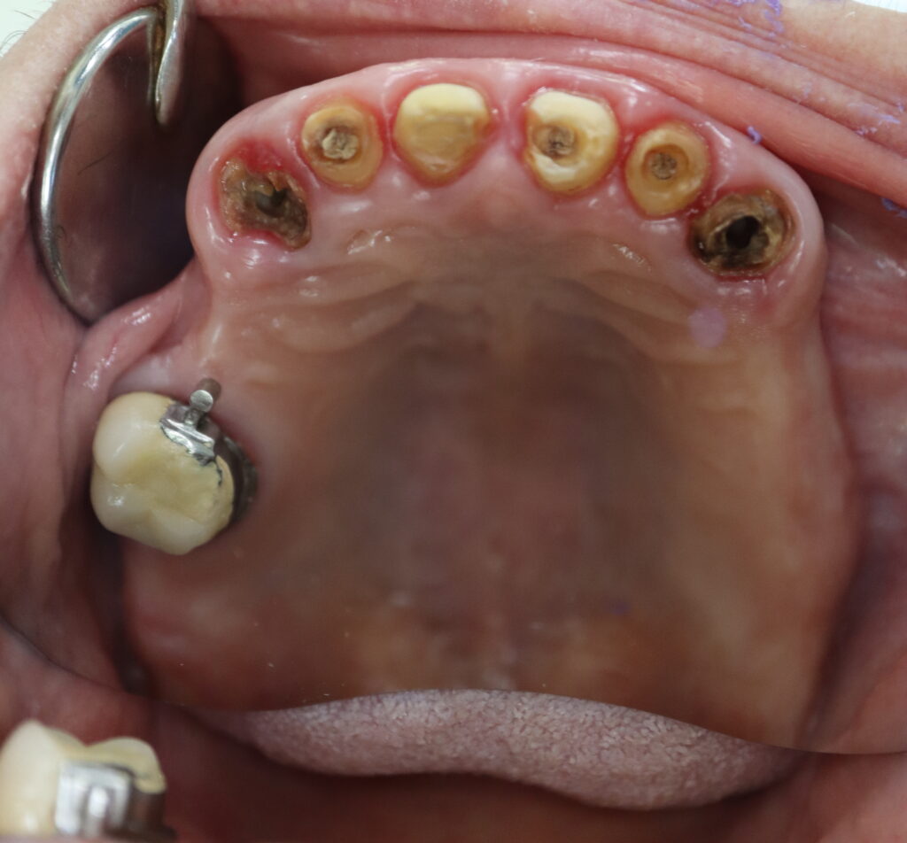
Ситуация до лечения

 

пациент до имплантации
пациент до имплантации

Процесс работы

Что было сделано:

На верхней челюсти были удалены зубы и проведена комплексная имплантация по системе All-on-6,
установлены 6 имплантатов Megagen AnyOne.
Спустя 7 дней на верхней челюсти зафиксирован металлоакриловый протез из 12 зубов.

процесс имплантации
Это фото может содержать тяжелый для восприятия контент
процесс имплантации
процесс имплантации
процесс имплантации
процесс имплантации

Результат

Стоимость всего комплекса:

Стоимость всего комплекса: 3900 USD (цена указана ориентировочно по курсу НБРБ на день оплаты)

результат имплантации
результат имплантации
результат имплантации

работы врача

больше примеров
5 имплантатов Megagen AnyOne
Имплантация
Тотальная работа на имплантатах с немедленной нагрузкой
ALT
Имплантация
Комплексная скуловая имплантация по системе All-on-6 (Megagen AnyOne и NeoDent)
запись в стоматологию в Бишкеке
запись на приём
Оставьте заявку на обратный звонок,
и мы свяжемся с вами в течение 10 минут
запись в стоматологию в Бишкеке
Ваше Имя
Поле является обязательным
Телефон
Поле является обязательным
уже проходили лечение в нашей стоматологии?
 стоматологическая клиника
Пожалуйста, оставьте отзыв о своих впечатлениях. Это очень важно для нас!
Оставить отзыв
Ваша обратная связь поможет нашим будущим пациентам определиться с выбором специалиста и метода лечения
Ваше Имя
Поле является обязательным
Телефон
Поле является обязательным
На сколько звёзд Вы оцениваете стоматологию?
Поле является обязательным
Ваш отзыв
Не более 500 символов
Поле является обязательным