пн-пт: 8:00-20:00
сб-вс: 09:00-20:00
г. Бишкек, Пр. Манаса 8 (пересекает ул. Боконбаева)

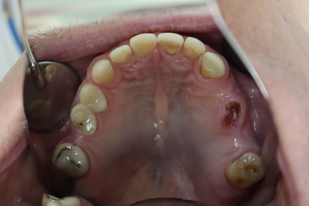
Ситуация до лечения

 

пациент до имплантации
пациент до имплантации

Процесс работы

Что было сделано:

На верхней челюсти были удалены зубы и проведена комплексная имплантация по системе All-on-6,
установлены 6 имплантатов Megagen AnyOne.
Спустя 7 дней на верхней челюсти зафиксирован металлоакриловый протез из 12 зубов.

в процессе имплантации
Это фото может содержать тяжелый для восприятия контент

Результат

Стоимость всего комплекса:

Стоимость всего комплекса: 3900 USD (цена указана ориентировочно по курсу НБРБ на день оплаты)

рузультат имплантации
рузультат имплантации
снимок

работы врача

больше примеров
ALT
Имплантация
Комплексная скуловая имплантация по системе All-on-6 (Megagen AnyOne и NeoDent)
 установки временных металлоакриловых протезов
Протезирование
Протезы с опорой на 6-ти имплантатах из диоксида циркония на обе челюсти
запись в стоматологию в Бишкеке
запись на приём
Оставьте заявку на обратный звонок,
и мы свяжемся с вами в течение 10 минут
запись в стоматологию в Бишкеке
Ваше Имя
Поле является обязательным
Телефон
Поле является обязательным
уже проходили лечение в нашей стоматологии?
 стоматологическая клиника
Пожалуйста, оставьте отзыв о своих впечатлениях. Это очень важно для нас!
Оставить отзыв
Ваша обратная связь поможет нашим будущим пациентам определиться с выбором специалиста и метода лечения
Ваше Имя
Поле является обязательным
Телефон
Поле является обязательным
На сколько звёзд Вы оцениваете стоматологию?
Поле является обязательным
Ваш отзыв
Не более 500 символов
Поле является обязательным