пн-пт: 8:00-20:00
сб-вс: 09:00-20:00
г. Бишкек, Пр. Манаса 8 (пересекает ул. Боконбаева)

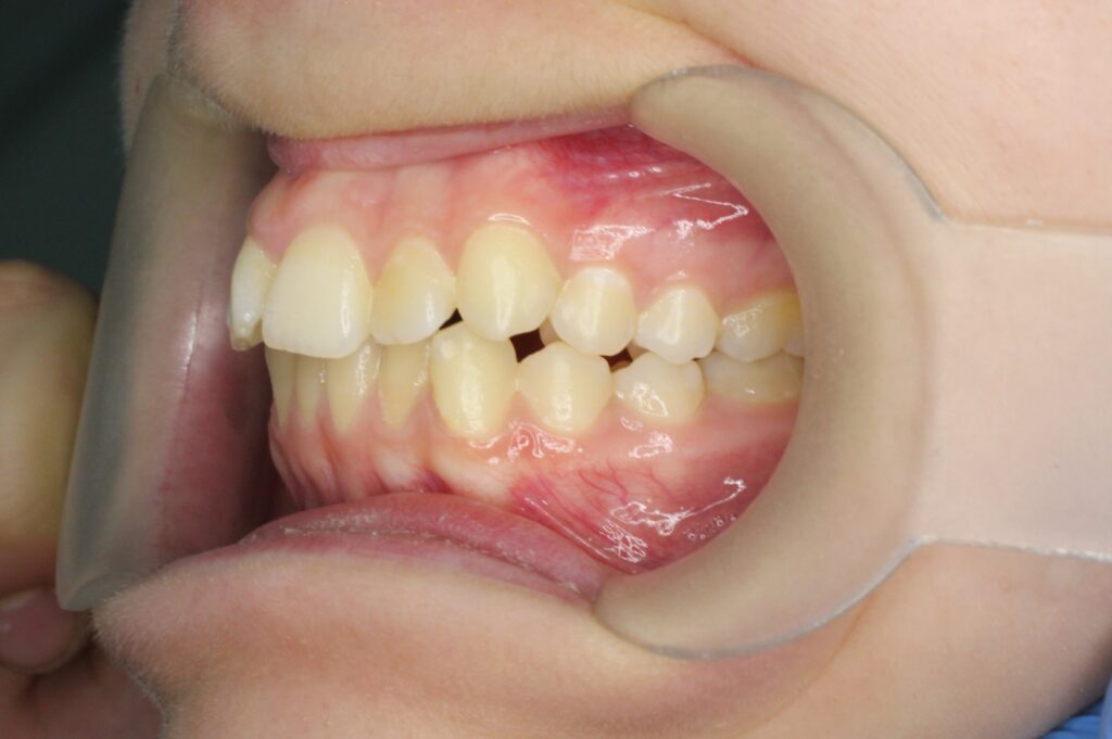
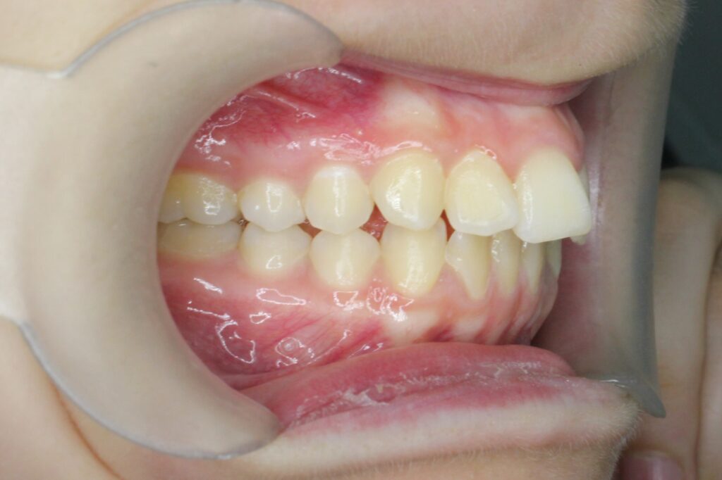
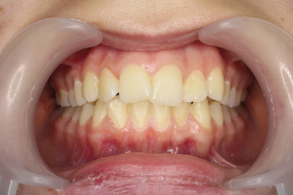
Ситуация до лечения

Жалобы: Пациентка обратилась с жалобами на неровное положение передних зубов.
Диагноз: дистальный прикус, сужение верхнего и нижнего зубных рядов, скученность фронтальной группы зубов на верхней и нижней челюсти.
пациент до лечения брекетами
пациент до лечения брекетами
пациент до лечения брекетами
пациент до лечения брекетами
пациент до лечения брекетами

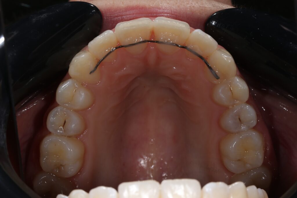
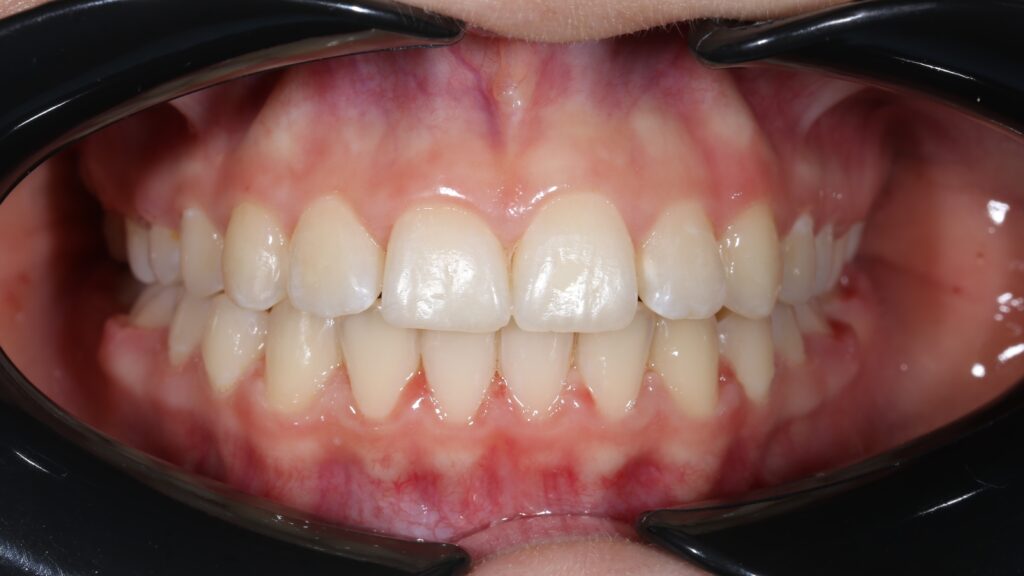
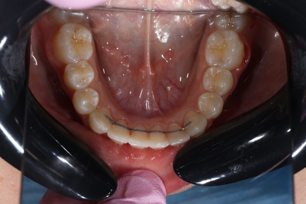
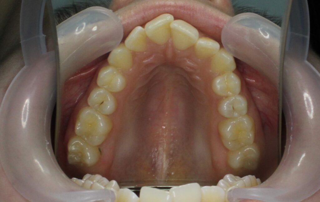
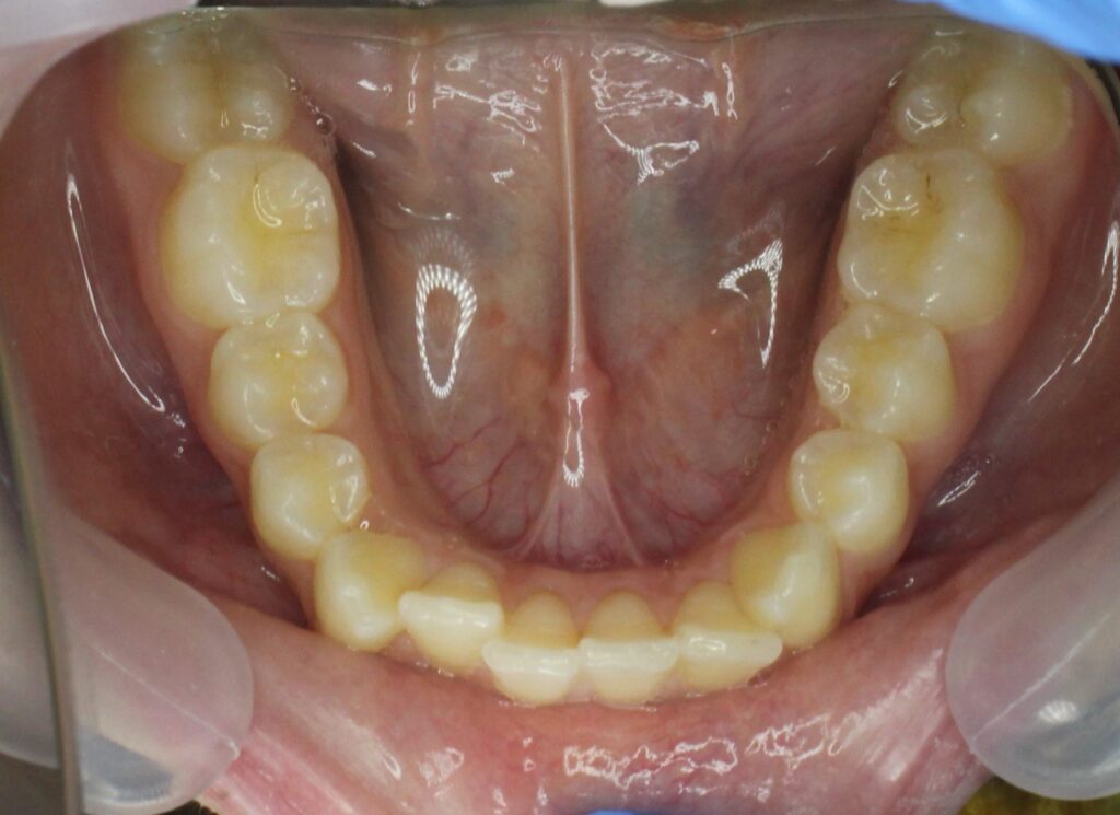
Результат

Была установлена брекет-система Damon Q.
Стоимость установки брекет-системы на обе челюсти (без стоимости коррекций): 1650 USD (цена указана ориентировочно по курсу НБРБ на день оплаты)

пациент после ортодонтического лечения
пациент после ортодонтического лечения
пациент после ортодонтического лечения
пациент после ортодонтического лечения
пациент после ортодонтического лечения

работы врача

больше примеров
Установка брекет-системы Damon Q
Ортодонтия
Установка брекет-системы Damon Q
Установка 6 классических имплантатов NeoDent и 3 скуловых имплантата
Имплантация
Установка 6 классических имплантатов NeoDent и 3 скуловых имплантата
запись в стоматологию в Бишкеке
запись на приём
Оставьте заявку на обратный звонок,
и мы свяжемся с вами в течение 10 минут
запись в стоматологию в Бишкеке
Ваше Имя
Поле является обязательным
Телефон
Поле является обязательным
уже проходили лечение в нашей стоматологии?
 стоматологическая клиника
Пожалуйста, оставьте отзыв о своих впечатлениях. Это очень важно для нас!
Оставить отзыв
Ваша обратная связь поможет нашим будущим пациентам определиться с выбором специалиста и метода лечения
Ваше Имя
Поле является обязательным
Телефон
Поле является обязательным
На сколько звёзд Вы оцениваете стоматологию?
Поле является обязательным
Ваш отзыв
Не более 500 символов
Поле является обязательным