пн-пт: 8:00-20:00
сб-вс: 09:00-20:00
г. Бишкек, Пр. Манаса 8 (пересекает ул. Боконбаева)

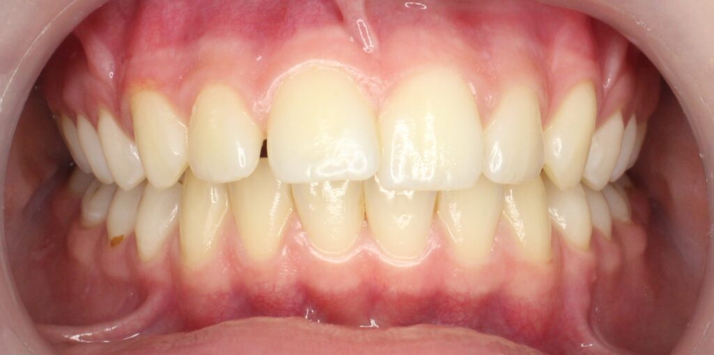
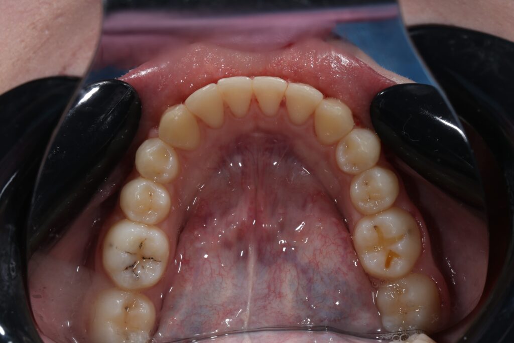
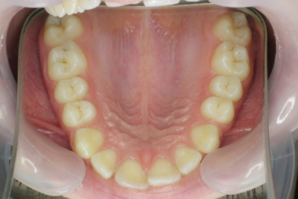
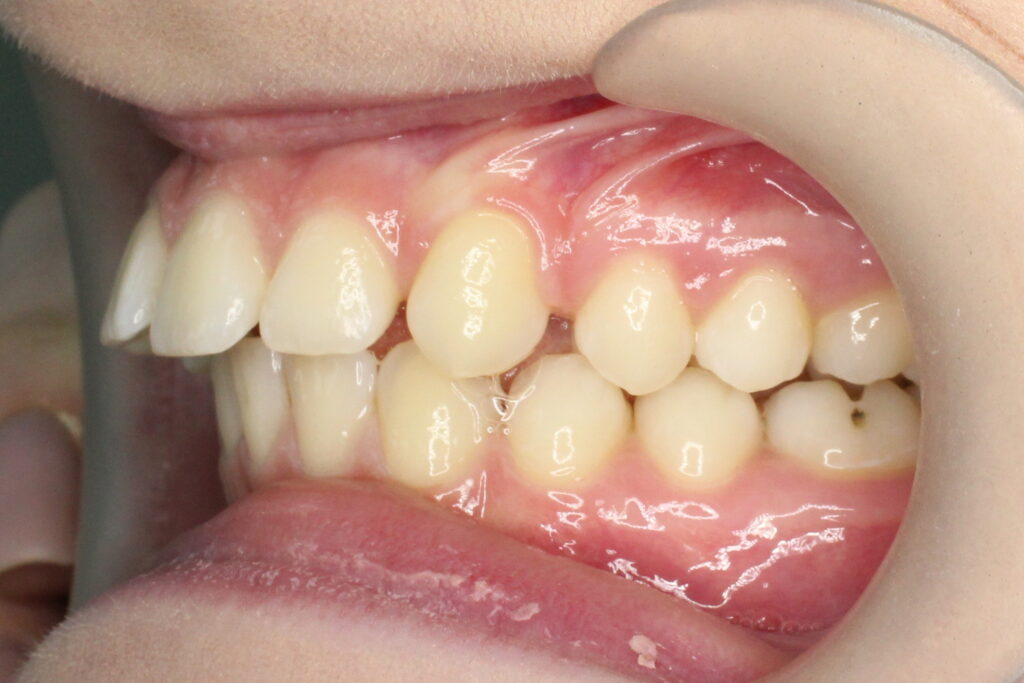
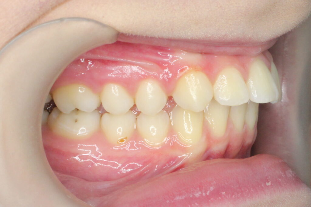
Ситуация до лечения

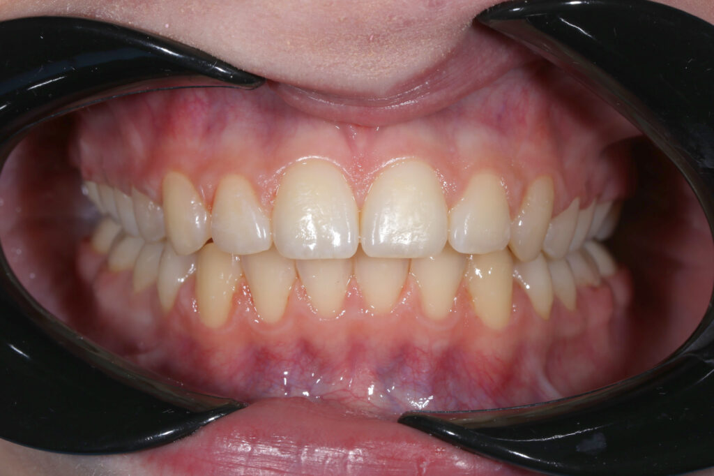
Диагноз: дистальный прикус, сужение, удлинение верхнего зубного ряда, скученность фронтальной группы зубов на нижней челюсти. Лечение проводилось самолигирующей брекет-системой Damon Q, срок лечения составил 2 года и 2 месяца.

Ситуация до лечения брекетами
Ситуация до лечения брекетами
Ситуация до лечения брекетами
Ситуация до лечения брекетами
Ситуация до лечения брекетами

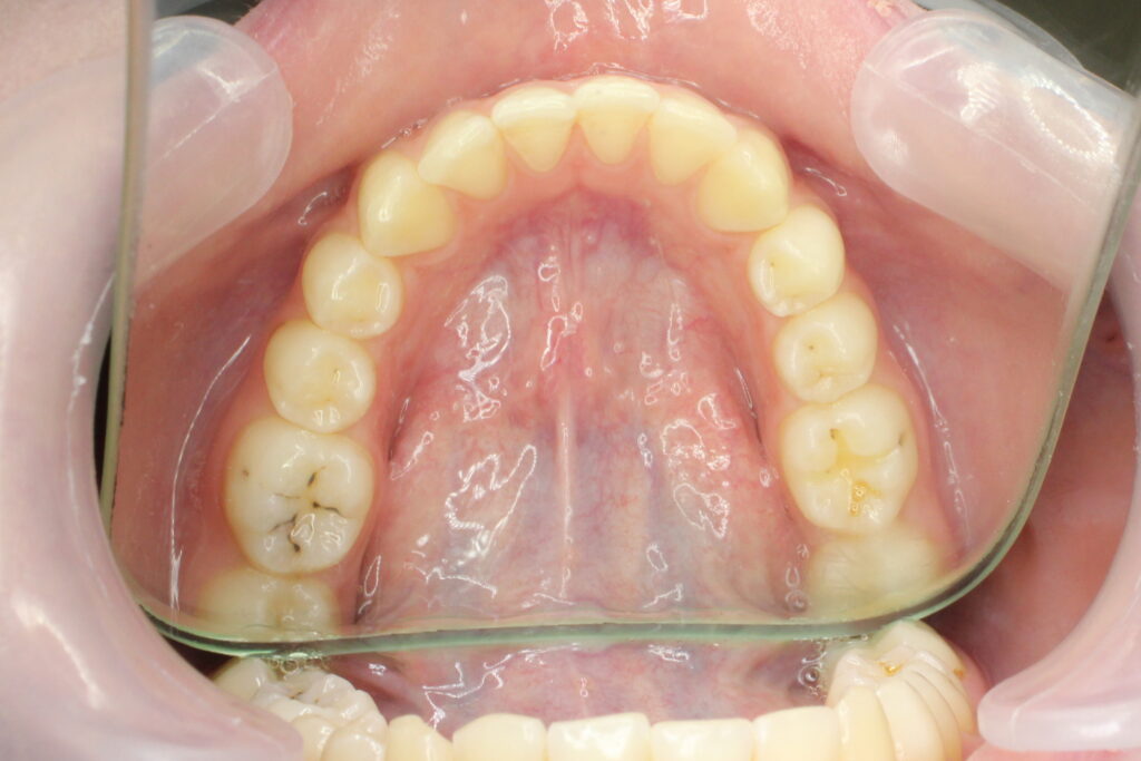
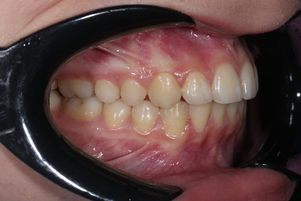
Результаты

Стоимость установки брекет-системы на обе челюсти (без стоимости коррекций): 1650 USD (цена указана ориентировочно по курсу НБРБ на день оплаты)

результат лечения брекет-системой
результат лечения брекет-системой
результат лечения брекет-системой
результат лечения брекет-системой
результат лечения брекет-системой

работы врача

больше примеров
Установка брекет-системы Damon Q
Ортодонтия
Установка брекет-системы Damon Q
Установка брекет-системы Damon Q на обе челюсти
Ортодонтия
Установка брекет-системы Damon Q на обе челюсти
запись в стоматологию в Бишкеке
запись на приём
Оставьте заявку на обратный звонок,
и мы свяжемся с вами в течение 10 минут
запись в стоматологию в Бишкеке
Ваше Имя
Поле является обязательным
Телефон
Поле является обязательным
уже проходили лечение в нашей стоматологии?
 стоматологическая клиника
Пожалуйста, оставьте отзыв о своих впечатлениях. Это очень важно для нас!
Оставить отзыв
Ваша обратная связь поможет нашим будущим пациентам определиться с выбором специалиста и метода лечения
Ваше Имя
Поле является обязательным
Телефон
Поле является обязательным
На сколько звёзд Вы оцениваете стоматологию?
Поле является обязательным
Ваш отзыв
Не более 500 символов
Поле является обязательным