пн-пт: 8:00-20:00
сб-вс: 09:00-20:00
г. Бишкек, Пр. Манаса 8 (пересекает ул. Боконбаева)

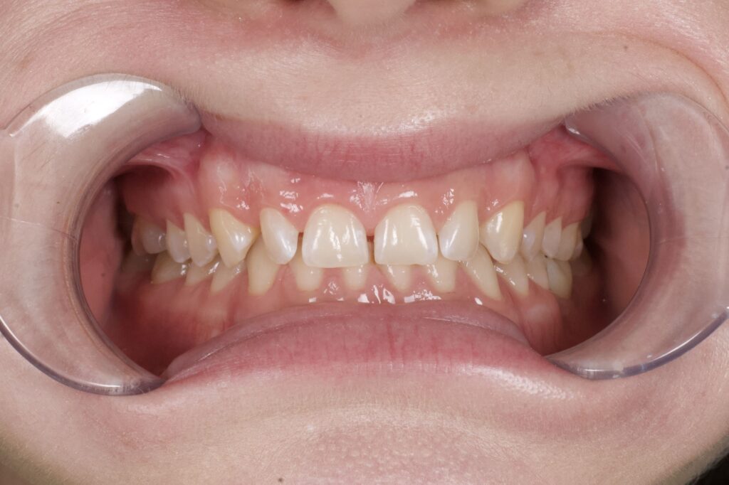
Ситуация до лечения

Пациент обратился с жалобами на эстетические недостатки.

пациент до протезирования
пациент до протезирования

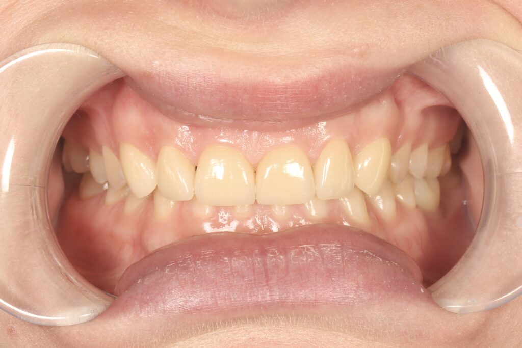
Результаты протезирования

Сделано препарирование шести зубов на верхней челюсти под керамические коронки Emax.
Установлены временные коронки из пластика. Спустя 20 дней были зафиксированы керамические коронки.

Стоимость всего комплекса:
3000 USD (цена указана ориентировочно по курсу НБРБ на день оплаты)

результат протезирования
результат протезирования
результат протезирования
результат протезирования

работы врача

больше примеров
 установки временных металлоакриловых протезов
Протезирование
Протезы с опорой на 6-ти имплантатах из диоксида циркония на обе челюсти
Установка 6 классических имплантатов NeoDent и 3 скуловых имплантата
Имплантация
Установка 6 классических имплантатов NeoDent и 3 скуловых имплантата
Комплексная имплантация по протоколу All-on-6 / All-on-4 — полное восстановление зубов верхней и нижней челюсти
Имплантация
Полное восстановление зубов верхней и нижней челюсти All-on-6 / All-on-4
запись в стоматологию в Бишкеке
запись на приём
Оставьте заявку на обратный звонок,
и мы свяжемся с вами в течение 10 минут
запись в стоматологию в Бишкеке
Ваше Имя
Поле является обязательным
Телефон
Поле является обязательным
уже проходили лечение в нашей стоматологии?
 стоматологическая клиника
Пожалуйста, оставьте отзыв о своих впечатлениях. Это очень важно для нас!
Оставить отзыв
Ваша обратная связь поможет нашим будущим пациентам определиться с выбором специалиста и метода лечения
Ваше Имя
Поле является обязательным
Телефон
Поле является обязательным
На сколько звёзд Вы оцениваете стоматологию?
Поле является обязательным
Ваш отзыв
Не более 500 символов
Поле является обязательным