пн-пт: 8:00-20:00
сб-вс: 09:00-20:00
г. Бишкек, Пр. Манаса 8 (пересекает ул. Боконбаева)

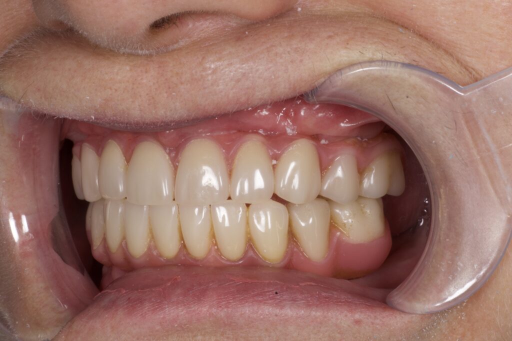
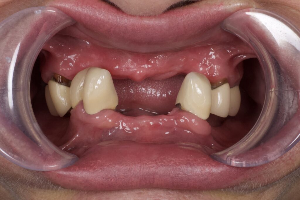
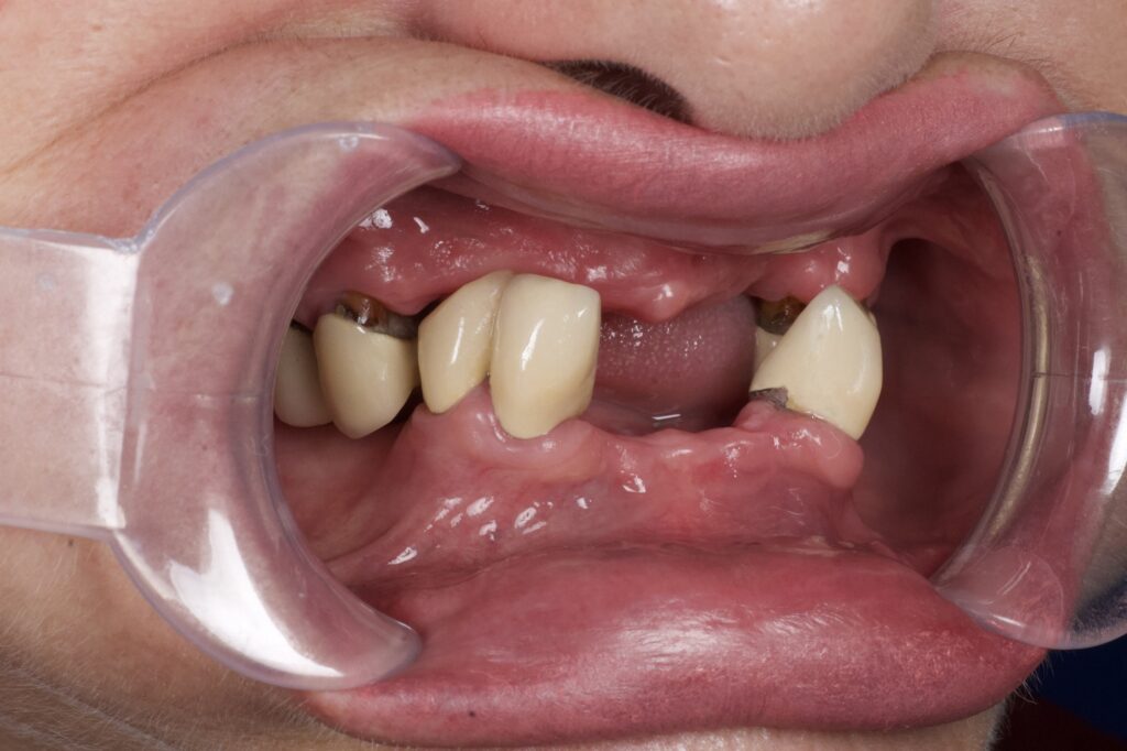
Ситуация до лечения

Пациент обратился к нам с целью проведения комплексной имплантации верхней и нижней челюсти.

пациент до протезирования
пациент до протезирования
пациент до протезирования
пациент до протезирования

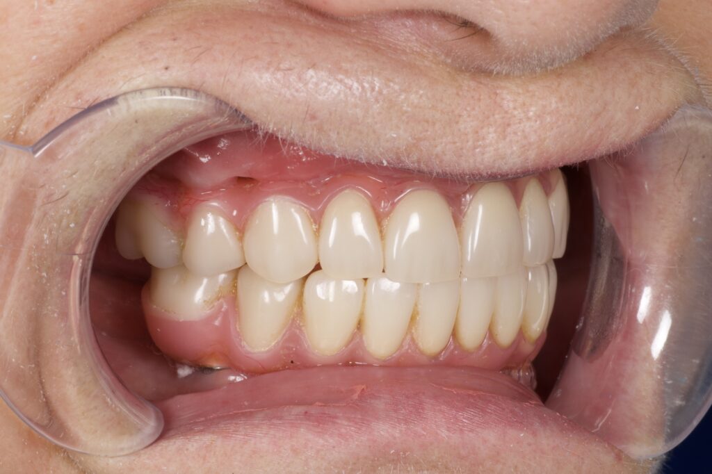
Этап имплантации и протезирования и результаты

После консультации было принято решение об удалении зубов на верхней и нижней челюсти, которые находились в неудовлетворительном состоянии и проведении комплексной имплантации по системе All-on-6 сверху и All-on-4 снизу. Спустя 7 дней были зафиксированы временные протезы.

С пациентом работали Агаев СВ стоматолог ортопед, Комар ОР хирург-имплантолог, техник Антончик МА.

Стоимость всего комплекса:
7 360USD (цена указана ориентировочно по курсу НБРБ на день оплаты)

пациент после протезирования
пациент после протезирования
пациент после протезирования
пациент после протезирования

работы врача

больше примеров
All-on-4 (Megagen AnyOne)
Имплантация
All-on-4 (Megagen AnyOne)
Имплантация All-on-6 Megagen AnyRidge
Имплантация
Имплантация All-on-6 Megagen AnyRidge
Диоксид циркония на 6ти Megagen AnyOne
Имплантация
Диоксид циркония на 6ти Megagen AnyOne
запись в стоматологию в Бишкеке
запись на приём
Оставьте заявку на обратный звонок,
и мы свяжемся с вами в течение 10 минут
запись в стоматологию в Бишкеке
Ваше Имя
Поле является обязательным
Телефон
Поле является обязательным
уже проходили лечение в нашей стоматологии?
 стоматологическая клиника
Пожалуйста, оставьте отзыв о своих впечатлениях. Это очень важно для нас!
Оставить отзыв
Ваша обратная связь поможет нашим будущим пациентам определиться с выбором специалиста и метода лечения
Ваше Имя
Поле является обязательным
Телефон
Поле является обязательным
На сколько звёзд Вы оцениваете стоматологию?
Поле является обязательным
Ваш отзыв
Не более 500 символов
Поле является обязательным