пн-пт: 8:00-20:00
сб-вс: 09:00-20:00
г. Бишкек, Пр. Манаса 8 (пересекает ул. Боконбаева)

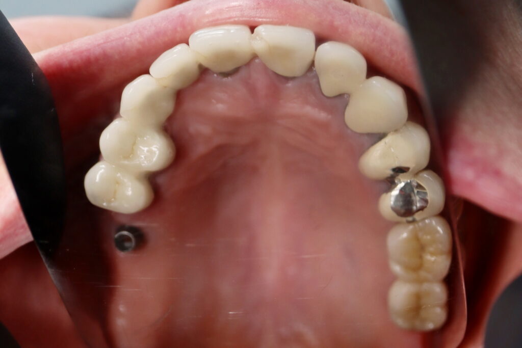
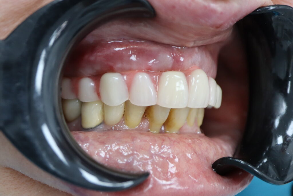
Ситуация до лечения

Жалобы: Пациент обратился к нам с целью установить имплантаты аналогичные, установленным 6 лет назад в другой клинике.
Диагноз: Частичная вторичная адентия верхней челюсти.

пациент до имплантации
пациент до имплантации
пациент до имплантации
пациент до имплантации

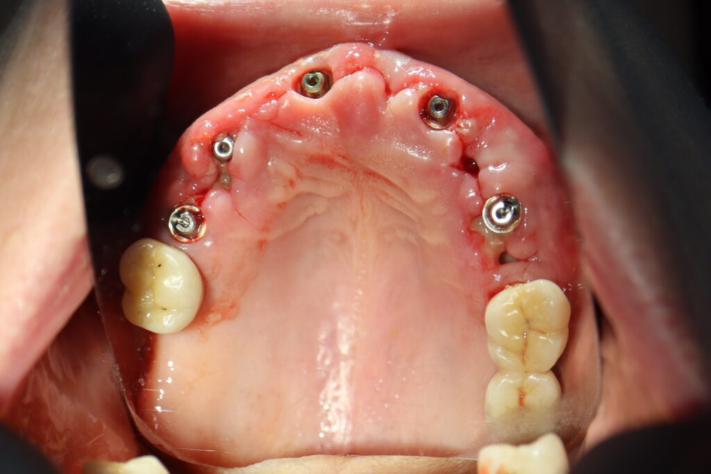
Процесс работы

Что было сделано:

На верхней челюсти были сняты старые мостовидные протезы и удалены зубы, которые находились в неудовлетворительном состоянии.

Установлены 5 имплантантов Straumann BLT и сняты оттиски. Спустя 6 дней на верхней челюсти зафиксирован протез из пластмассы, армированный металлической балкой с опорой на 5 дентальных имплантатов. Ранее у пациента уже были установлены 3 имплантата Straumann.

При постоянном протезировании протез будет зафиксирован на 8ми имплантатах.

процесс имплантации
Это фото может содержать тяжелый для восприятия контент
процесс имплантации
Это фото может содержать тяжелый для восприятия контент
процесс имплантации
Это фото может содержать тяжелый для восприятия контент
процесс имплантации
Это фото может содержать тяжелый для восприятия контент

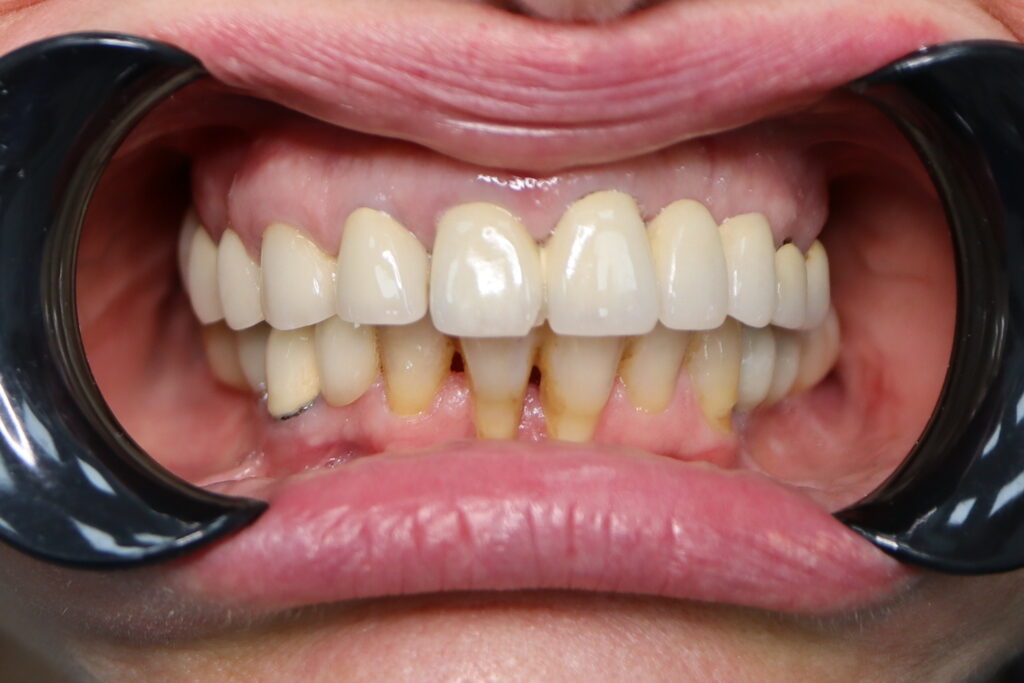
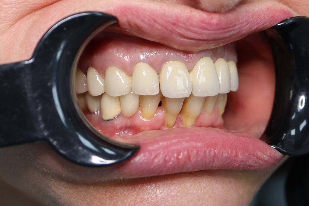
Результаты

Стоимость всего комплекса: 5300 USD (цена указана ориентировочно по курсу НБРБ на день оплаты)

результат имплантации
результат имплантации
результат имплантации
результат имплантации
результат имплантации

работы врача

больше примеров
Имплантация Megagen Anyone + установка керамических виниров и коронок
Имплантация
Имплантация Megagen Anyone и установка керамических виниров и коронок
Имплантация по системе All-on-6 + 6 имплантатов Megagen AnyOne
Имплантация
Имплантация по системе All-on-6 (Megagen AnyOne)
Имплантация по системе All-on-6 + имплантаты Megagen AnyOne
Имплантация
Имплантация по системе All-on-6 (имплантаты Megagen AnyOne)
Имплантация All on 6 MegaGen
Имплантация
Комплексная имплантация All-on-6 (Megagen AnyRidge)
запись в стоматологию в Бишкеке
запись на приём
Оставьте заявку на обратный звонок,
и мы свяжемся с вами в течение 10 минут
запись в стоматологию в Бишкеке
Ваше Имя
Поле является обязательным
Телефон
Поле является обязательным
уже проходили лечение в нашей стоматологии?
 стоматологическая клиника
Пожалуйста, оставьте отзыв о своих впечатлениях. Это очень важно для нас!
Оставить отзыв
Ваша обратная связь поможет нашим будущим пациентам определиться с выбором специалиста и метода лечения
Ваше Имя
Поле является обязательным
Телефон
Поле является обязательным
На сколько звёзд Вы оцениваете стоматологию?
Поле является обязательным
Ваш отзыв
Не более 500 символов
Поле является обязательным