пн-пт: 8:00-20:00
сб-вс: 09:00-20:00
г. Бишкек, Пр. Манаса 8 (пересекает ул. Боконбаева)

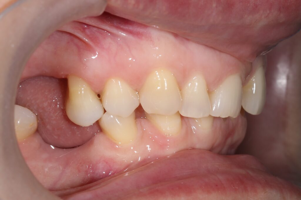
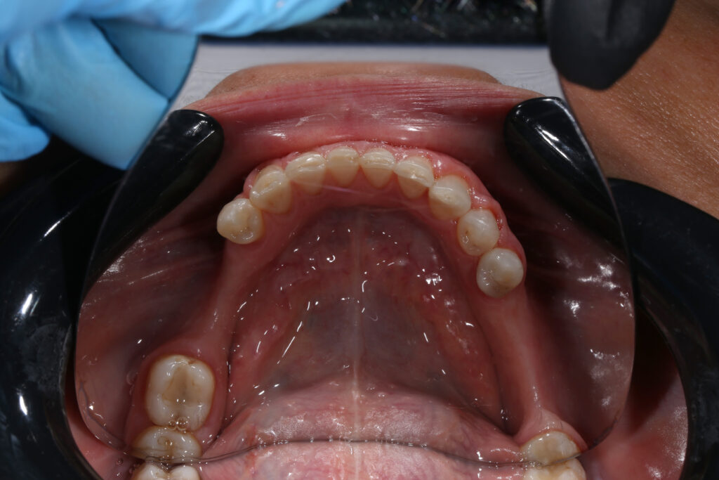
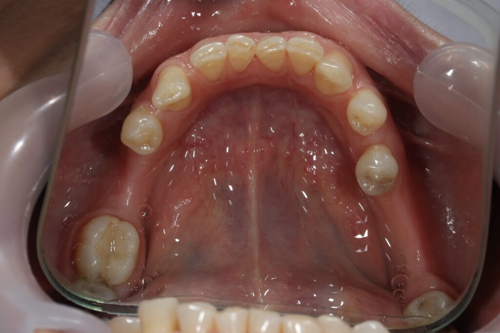
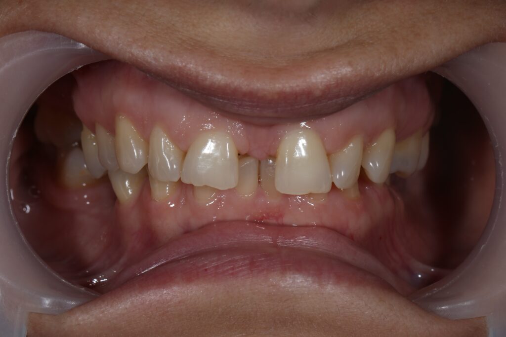
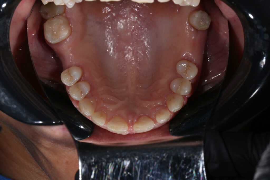
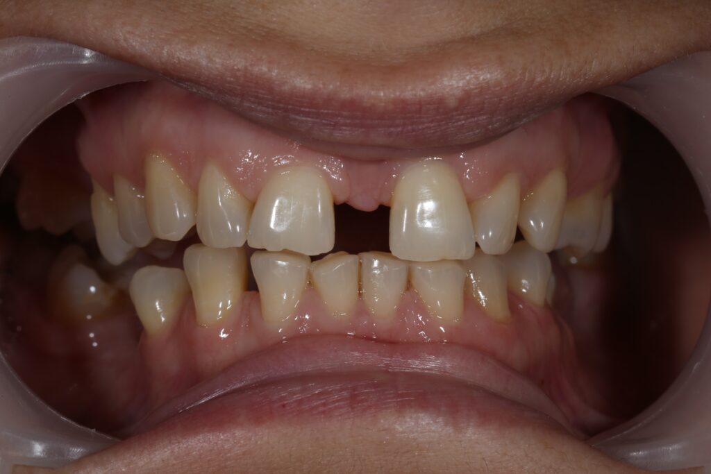
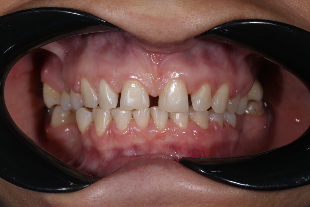
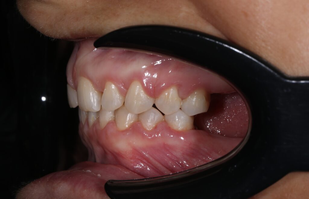
Ситуация до лечения

Пациентка 39 лет была направлена стоматологом-ортопедом для ортодонтической подготовки перед протезированием.

Из-за множественных давних удалений жевательных зубов, произошла деформация зубных рядов, зубы разъехались в область удаленных, что затрудняло протезирование в момент обращения к ортопеду.

Так же можно отметить сильное снижение высоты прикуса (верхние зубы на 100% перекрывали нижние, что вызывало хроническую травму десны), а также повышенную стираемость твердых тканей зубов,
что является следствием повышенной нагрузки, которую много лет испытывали передние зубы, в связи с отсутствием жевательных зубов.

В связи со всеми вышеперечисленными факторами, пациентка нуждается в тотальной реабилитации, и после окончания ортодонтического лечения, будет заниматься имплантацией и протезированием уже всех зубов (коронки, виниры, накладки).
Была установлена брекет-система Damon Q.

пациент до брекетов
пациент до брекетов
пациент до брекетов
пациент до брекетов
пациент до брекетов
пациент до брекетов

Результаты

Стоимость установки брекет-системы на обе челюсти (без стоимости коррекций): 1650 USD (цена указана ориентировочно по курсу НБРБ на день оплаты).

Срок лечения составил 11 месяцев.

Результат лечения брекет-системой
Результат лечения брекет-системой
Результат лечения брекет-системой
Результат лечения брекет-системой
Результат лечения брекет-системой

работы врача

больше примеров
Брекеты Damon Q
Ортодонтия
Брекеты Damon Q
Установка брекет-системы Damon Q
Ортодонтия
Установка брекет-системы Damon Q
Установка брекет-системы Damon Q на обе челюсти
Ортодонтия
Установка брекет-системы Damon Q на обе челюсти
запись в стоматологию в Бишкеке
запись на приём
Оставьте заявку на обратный звонок,
и мы свяжемся с вами в течение 10 минут
запись в стоматологию в Бишкеке
Ваше Имя
Поле является обязательным
Телефон
Поле является обязательным
уже проходили лечение в нашей стоматологии?
 стоматологическая клиника
Пожалуйста, оставьте отзыв о своих впечатлениях. Это очень важно для нас!
Оставить отзыв
Ваша обратная связь поможет нашим будущим пациентам определиться с выбором специалиста и метода лечения
Ваше Имя
Поле является обязательным
Телефон
Поле является обязательным
На сколько звёзд Вы оцениваете стоматологию?
Поле является обязательным
Ваш отзыв
Не более 500 символов
Поле является обязательным