пн-пт: 8:00-20:00
сб-вс: 09:00-20:00
г. Бишкек, Пр. Манаса 8 (пересекает ул. Боконбаева)

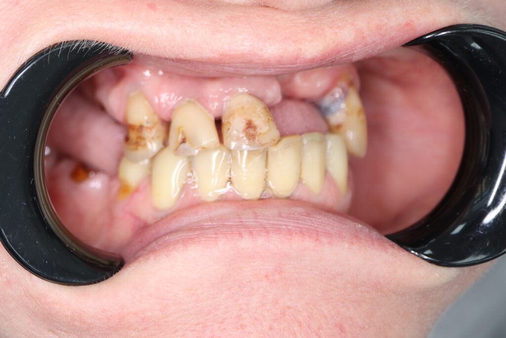
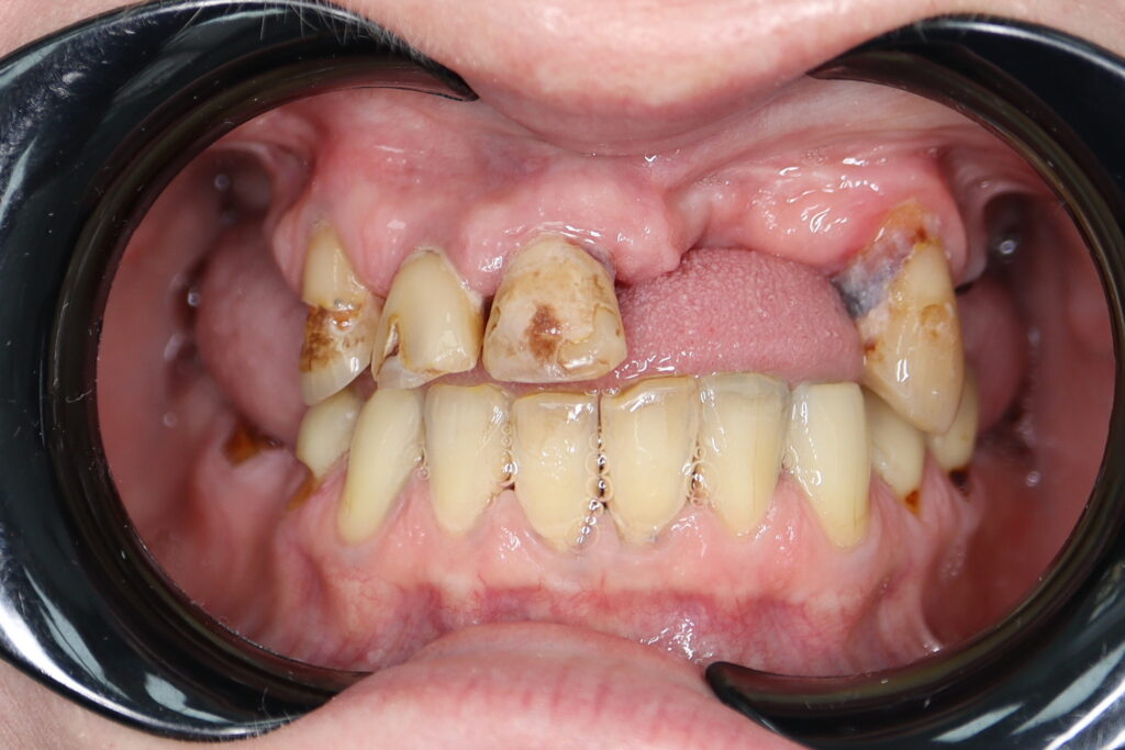
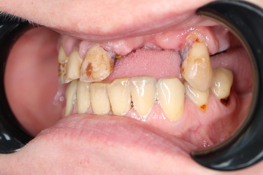
Ситуация до лечения

Жалобы: Пациент обратился с целью тотальной имплантации верхней челюсти.
Диагноз: Частичная вторичная адентия верхней челюсти.

пациент до тотальной имплантации
пациент до тотальной имплантации
пациент до тотальной имплантации
пациент до тотальной имплантации

Процесс работы

Что было сделано:

На верхней челюсти были удалены зубы, которые находились в неудовлетворительном состоянии. Удалена киста в области зуба 2.1.
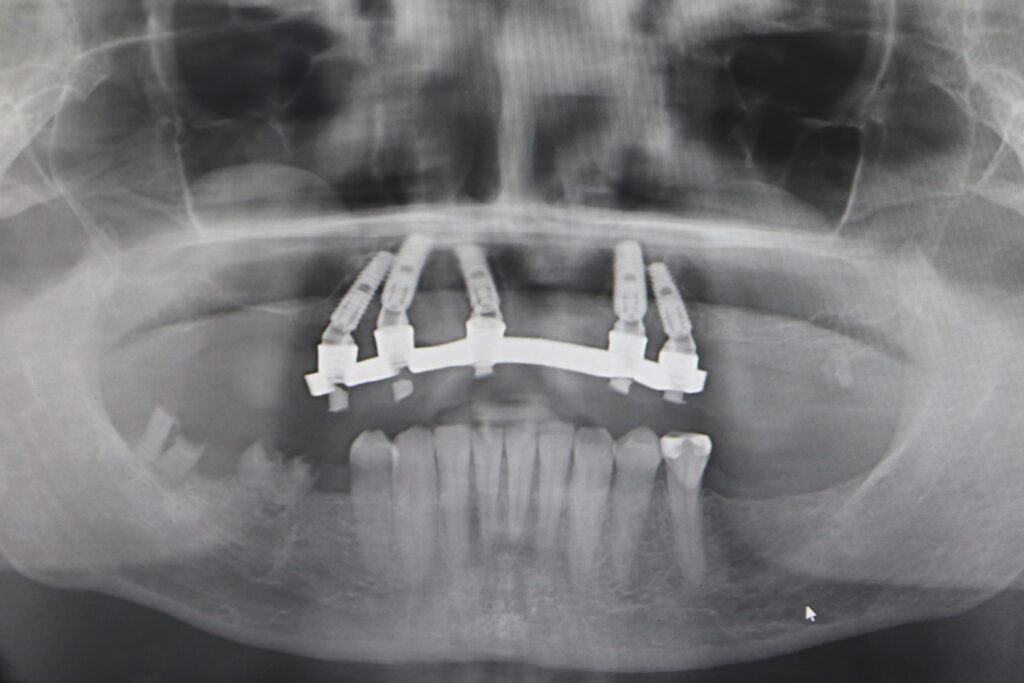
Установлены 5 имплантантов Megagen Anyone и сняты оттиски.

Спустя 5 дней на верхней челюсти зафиксирован протез из пластмассы, армированный металлической балкой из КХС (кобальт-хромовый сплав) с опорой на 5 дентальных имплантатов.

процесс тотальной имплантации
Это фото может содержать тяжелый для восприятия контент
процесс тотальной имплантации
Это фото может содержать тяжелый для восприятия контент
процесс тотальной имплантации
Это фото может содержать тяжелый для восприятия контент

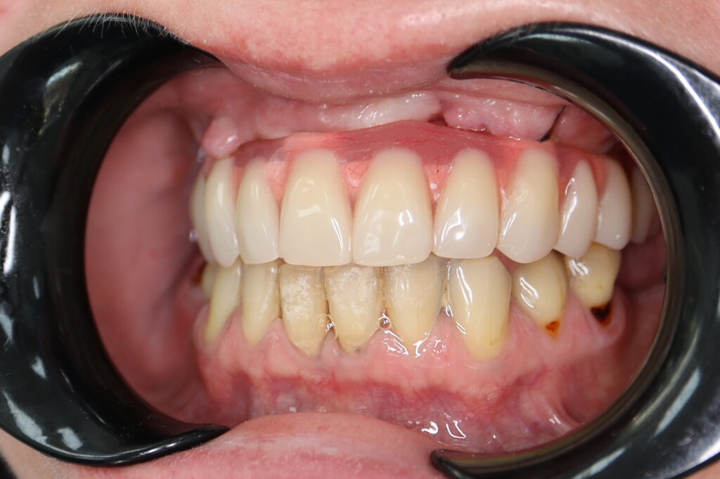
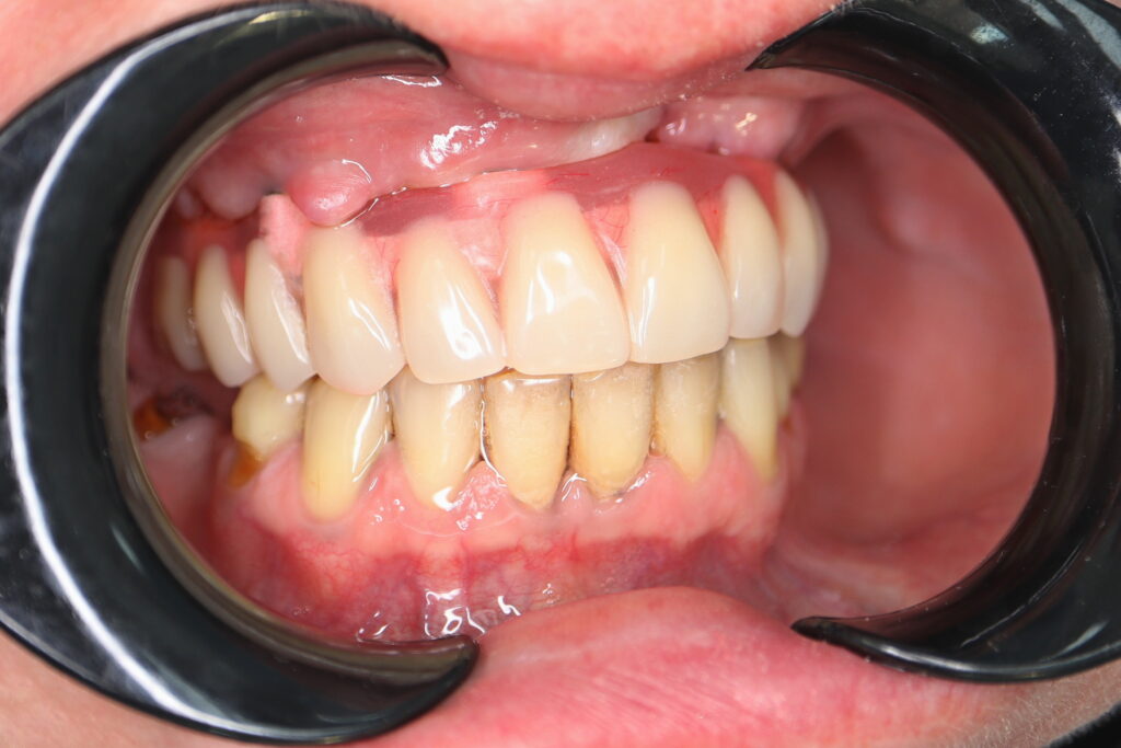
Результаты

Стоимость всего комплекса: 3500 USD (цена указана ориентировочно по курсу НБРБ на день оплаты)

результат тотальной имплантации
результат тотальной имплантации
результат тотальной имплантации
результат тотальной имплантации
результат тотальной имплантации

работы врача

больше примеров
All-on-5 (Straumann BLT)
Имплантация
All-on-5 (Straumann BLT)
Имплантация по системе All-on-6 + 6 имплантатов Megagen AnyOne
Имплантация
Имплантация по системе All-on-6 (Megagen AnyOne)
Имплантация All on 6 MegaGen
Имплантация
Комплексная имплантация All-on-6 (Megagen AnyRidge)
ALT
Имплантация
Комплексная скуловая имплантация по системе All-on-6 (Megagen AnyOne и NeoDent)
запись в стоматологию в Бишкеке
запись на приём
Оставьте заявку на обратный звонок,
и мы свяжемся с вами в течение 10 минут
запись в стоматологию в Бишкеке
Ваше Имя
Поле является обязательным
Телефон
Поле является обязательным
уже проходили лечение в нашей стоматологии?
 стоматологическая клиника
Пожалуйста, оставьте отзыв о своих впечатлениях. Это очень важно для нас!
Оставить отзыв
Ваша обратная связь поможет нашим будущим пациентам определиться с выбором специалиста и метода лечения
Ваше Имя
Поле является обязательным
Телефон
Поле является обязательным
На сколько звёзд Вы оцениваете стоматологию?
Поле является обязательным
Ваш отзыв
Не более 500 символов
Поле является обязательным