пн-пт: 8:00-20:00
сб-вс: 09:00-20:00
г. Бишкек, Пр. Манаса 8 (пересекает ул. Боконбаева)

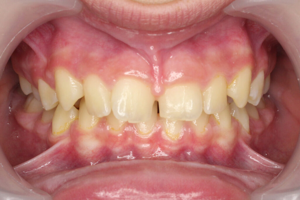
Ситуация до лечения

Пациентка обратилась с жалобой на наличие диастемы, а также неровное положение зубов.

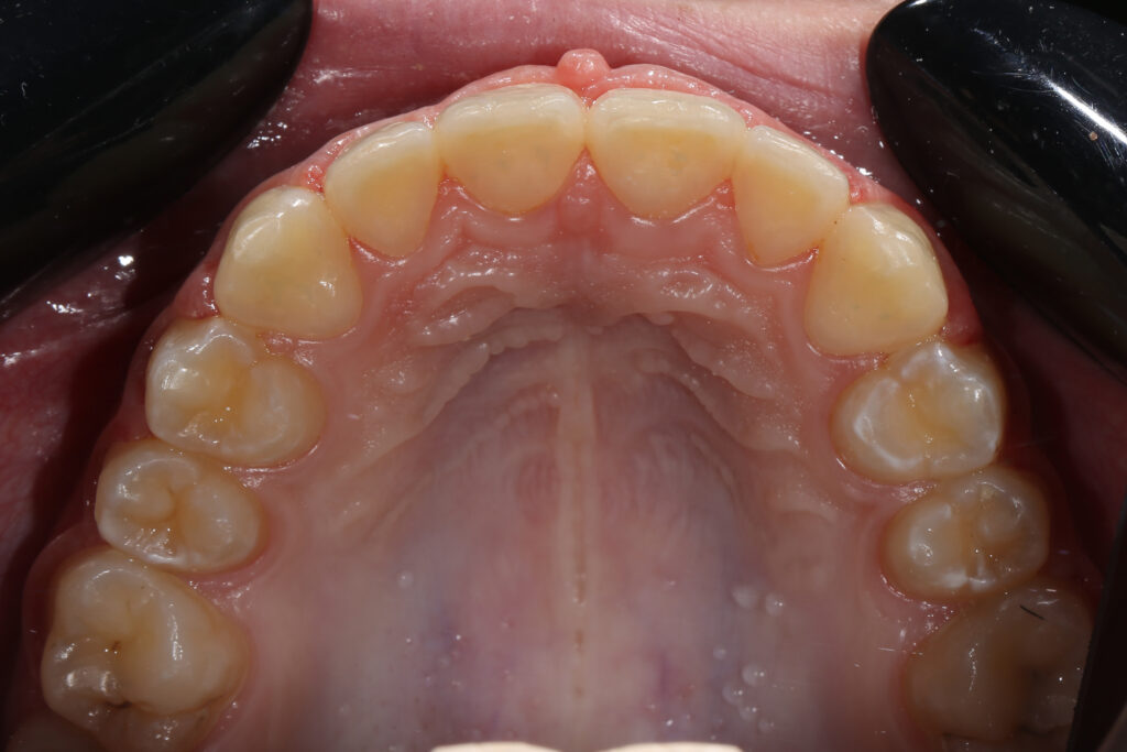
Лечение приводилось самолигирующей брекет-системой Damon Q. Длительность лечения составила 2 года и 3 месяца.

лечение брекет-системой
лечение брекет-системой
лечение брекет-системой
лечение брекет-системой
лечение брекет-системой

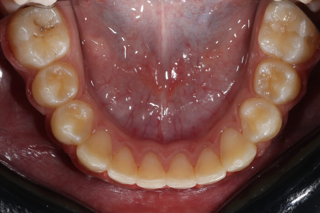
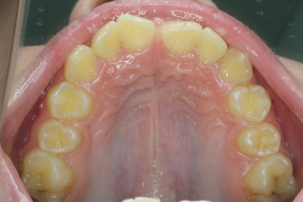
Результаты

На примере данной пациентки, мы хотели бы затронуть тему комплексного подхода в стоматологии, когда для достижения оптимального эстетического и функционального результата порой требуется командная работа смежных специалистов.

 

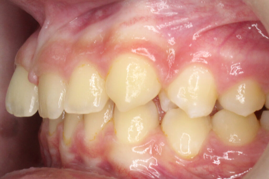
У данной пациентки после лечения все-таки осталась небольшая щель между передними зубами. Причиной является то, что центральные резцы у пациентки имеют необычную анатомическую форму: самая широкая часть коронки располагается в области шейки зуба (в норме должна быть в области режущего края) — такая форма называется бочкообразная.

 

Соответственно, чтобы устранить подобную щель необходимо восстановить естественную анатомическую форму зубов с помощью терапевтических реставраций либо керамических виниров.

 

Далее пациентке предстоит хирургический этап, который будет включать в себя:

— пластику уздечки верхней губы — это важно сделать с целью профилактики рецидива диастемы;

— пластику мелкого преддверия полости рта;

— пластику десны (гингивэктомия) в области отдельных зубов для увеличения высоты клинических коронок.

 

Стоимость установки брекет-системы на обе челюсти (без стоимости коррекций): 1650 USD (цена указана ориентировочно по курсу НБРБ на день оплаты)

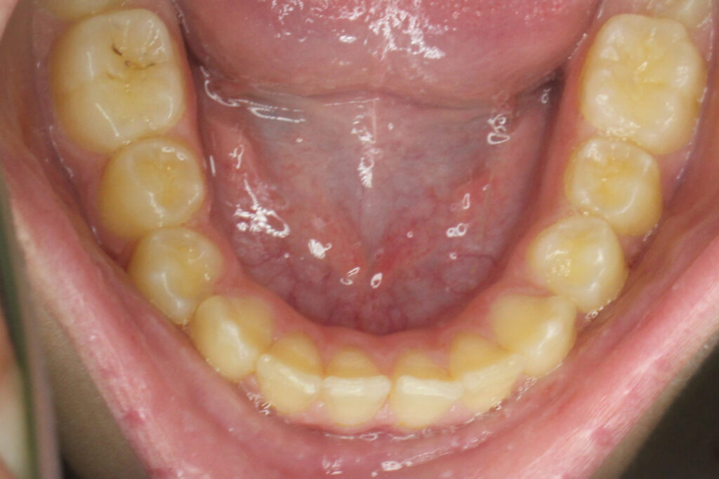
результат ортодонтического лечения
результат ортодонтического лечения
результат ортодонтического лечения
результат ортодонтического лечения
результат ортодонтического лечения

работы врача

больше примеров
Брекеты Damon Q
Ортодонтия
Брекеты Damon Q
Ортодонтическое лечение перед тотальным протезированием
Ортодонтия
Ортодонтическое лечение перед тотальным протезированием
Установка брекет-системы Damon Q
Ортодонтия
Установка брекет-системы Damon Q
Установка брекет-системы Damon Q на обе челюсти
Ортодонтия
Установка брекет-системы Damon Q на обе челюсти
запись в стоматологию в Бишкеке
запись на приём
Оставьте заявку на обратный звонок,
и мы свяжемся с вами в течение 10 минут
запись в стоматологию в Бишкеке
Ваше Имя
Поле является обязательным
Телефон
Поле является обязательным
уже проходили лечение в нашей стоматологии?
 стоматологическая клиника
Пожалуйста, оставьте отзыв о своих впечатлениях. Это очень важно для нас!
Оставить отзыв
Ваша обратная связь поможет нашим будущим пациентам определиться с выбором специалиста и метода лечения
Ваше Имя
Поле является обязательным
Телефон
Поле является обязательным
На сколько звёзд Вы оцениваете стоматологию?
Поле является обязательным
Ваш отзыв
Не более 500 символов
Поле является обязательным