пн-пт: 8:00-20:00
сб-вс: 09:00-20:00
г. Бишкек, Пр. Манаса 8 (пересекает ул. Боконбаева)

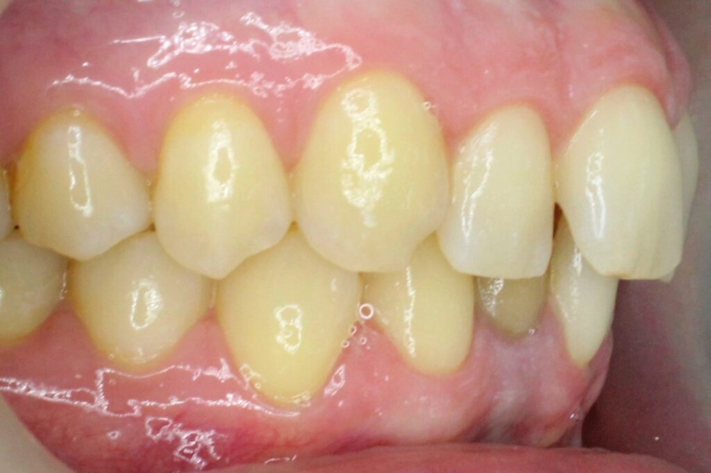
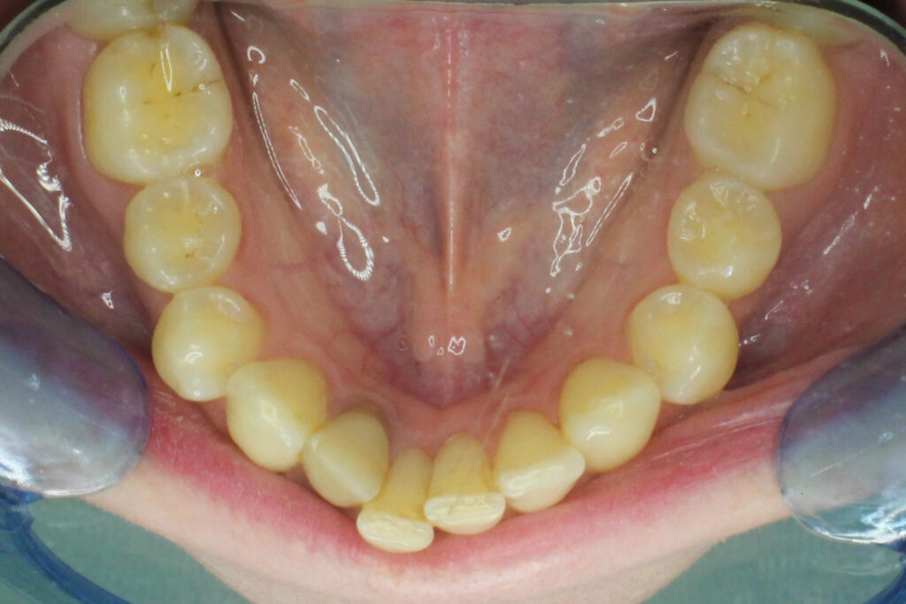
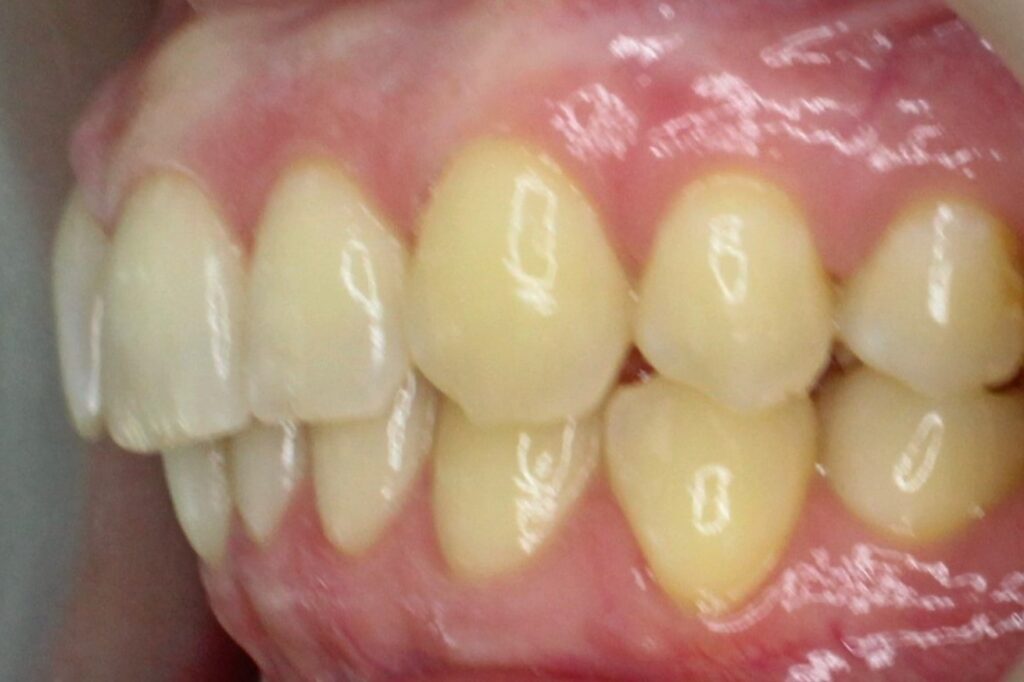
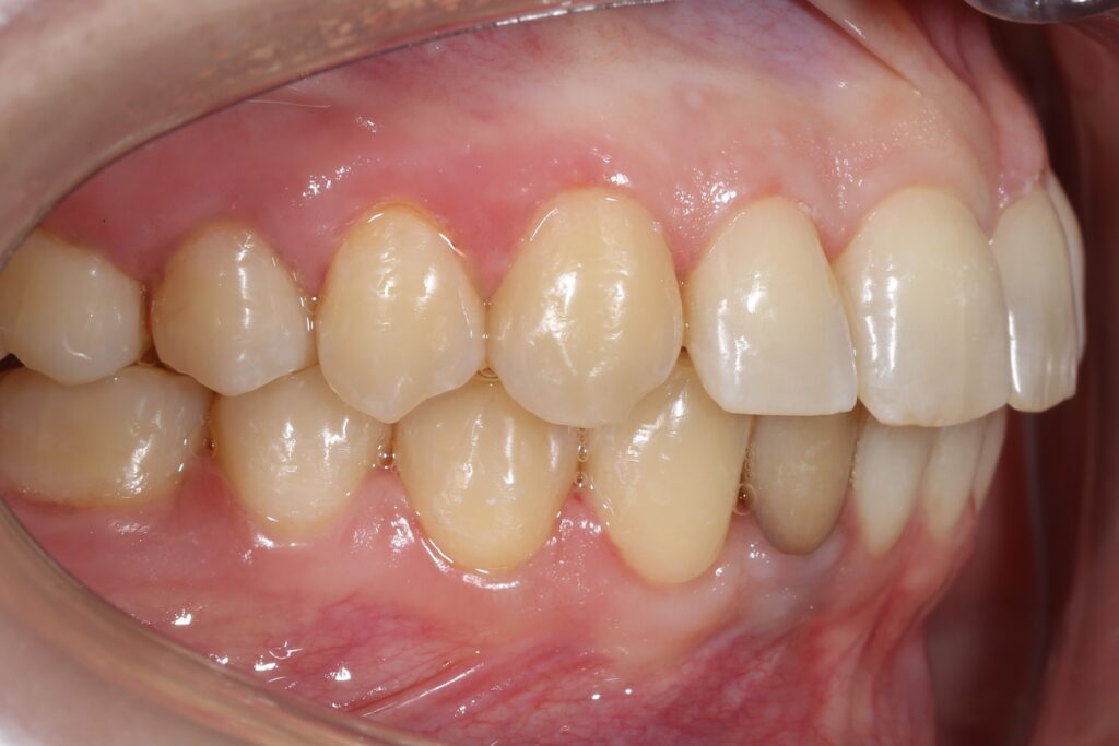
Ситуация до лечения

Пациентка, 36 лет, обратилась с жалобой на неровное положение нижних зубов.

В ходе диагностических мероприятий был выставлен следующий диагноз: дистальный прикус слева, сужение и укорочение зубных рядов, тесное положение фронтальной группы зубов на верхней и нижней челюстях, нарушение функции жевания.

пациент до брекет-системы
пациент до брекет-системы
пациент до брекет-системы
пациент до брекет-системы
пациент до брекет-системы

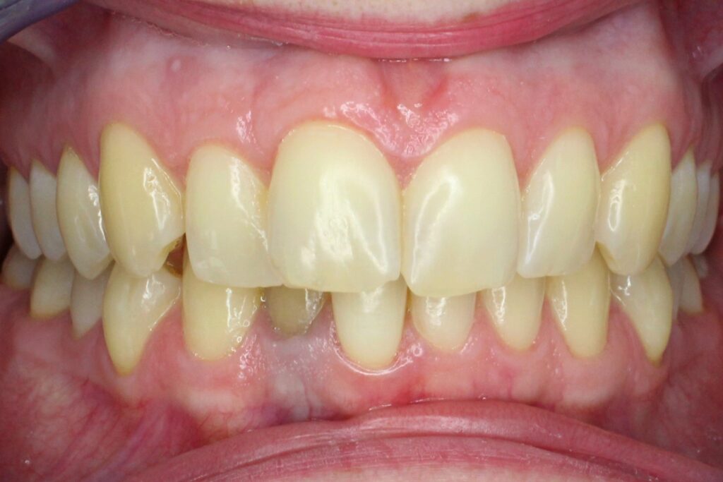
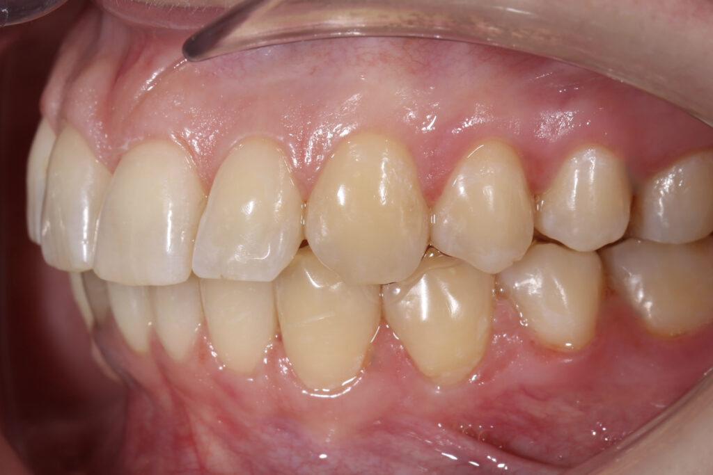
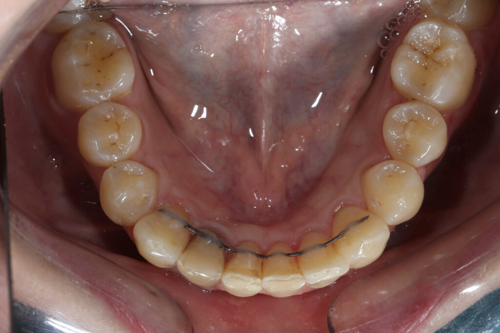
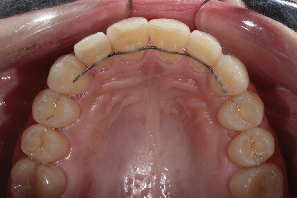
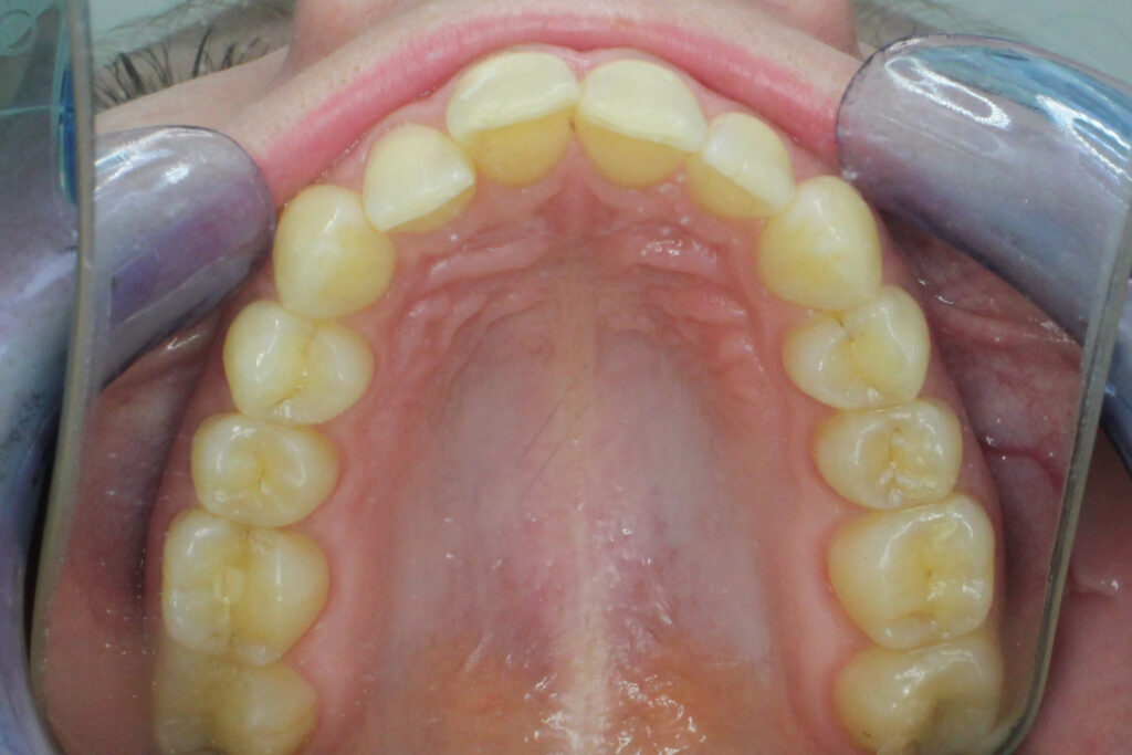
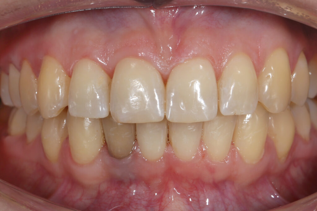
Результат

Лечение проводилось самолигирующей брекет-системой Damon Q и длилось 2 года и 2 месяца.

Стоимость лечения за весь срок: 2900 USD (цена указана ориентировочно по курсу НБРБ на день оплаты)

пациент после лечения брекет-системой
пациент после лечения брекет-системой
пациент после лечения брекет-системой
пациент после лечения брекет-системой
пациент после лечения брекет-системой

работы врача

больше примеров
Брекеты Damon Q
Ортодонтия
Брекеты Damon Q
Ортодонтическое лечение брекетами
Ортодонтия
Ортодонтическое лечение брекетами
Ортодонтическое лечение перед тотальным протезированием
Ортодонтия
Ортодонтическое лечение перед тотальным протезированием
Установка брекет-системы Damon Q
Ортодонтия
Установка брекет-системы Damon Q
Установка брекет-системы Damon Q на обе челюсти
Ортодонтия
Установка брекет-системы Damon Q на обе челюсти
запись в стоматологию в Бишкеке
запись на приём
Оставьте заявку на обратный звонок,
и мы свяжемся с вами в течение 10 минут
запись в стоматологию в Бишкеке
Ваше Имя
Поле является обязательным
Телефон
Поле является обязательным
уже проходили лечение в нашей стоматологии?
 стоматологическая клиника
Пожалуйста, оставьте отзыв о своих впечатлениях. Это очень важно для нас!
Оставить отзыв
Ваша обратная связь поможет нашим будущим пациентам определиться с выбором специалиста и метода лечения
Ваше Имя
Поле является обязательным
Телефон
Поле является обязательным
На сколько звёзд Вы оцениваете стоматологию?
Поле является обязательным
Ваш отзыв
Не более 500 символов
Поле является обязательным